Увеличение тени сердца в поперечнике до 15,4 см может указывать на различные кардиологические проблемы, такие как увеличенная сердечная мышца (гипертрофия), сердечная недостаточность или другие заболевания. Это изменение может быть связано с повышенной нагрузкой на сердце или заболеваниями сердечно-сосудистой системы.
Для точной оценки состояния пациента необходимо провести дополнительные исследования, такие как УЗИ сердца или ЭКГ, а также учитывать клинические симптомы. Консультация с кардиологом поможет определить дальнейшие шаги и необходимость лечения.
- Увеличение тени сердца может указывать на различные патологические состояния.
- Размер 15,4 см в поперечнике превышает норму, что требует дальнейшего обследования.
- Подобные изменения могут быть связаны с увеличением сердца или его частей.
- Необходимы дополнительные исследования для определения причины увеличения.
- Важно учитывать анамнез и симптомы пациента для точной диагностики.
Результаты УЗИ сердца ребенка
Мы провели обследование нашего малыша. Кардиолог, который должен был сделать заключение, находится в отпуске и вернется только через месяц, а врач, занимавшийся диагностикой, сообщила нам, что у дочери выявлены проблемы с сердцем. Ей 1 год и 8 месяцев, и результаты исследования таковы: Нозология – Врожденный порок сердца, вес – 13 кг, рост – 83 см, площадь тела – 0.53 м². Размеры левого предсердия: 19 мм. Левый желудочек: размеры диастолы – 23.00 мм, систолы – 15.00 мм, ударный объем – 12.06, фракция выброса – 66.57%, фракция сокращения – 34.78%. Митральный клапан показывает минимальную степень регургитации.
Митрально-аортальное фиброзное продолжение – сохранено. Аортальный клапан – без изменений, степень регургитации не определяется. Аорта в грудном отделе В норме. Основание аорты на уровне синусов Вальсальвы: 18.
Дуга аорты расположена слева.
ПЕРЕШЕЕК ДУГИ АОРТЫ: НЕ ИЗМЕНЕН. ПРАВОЕ ПРЕДСЕРДИЕ НЕ УВЕЛИЧЕНО.
Правый желудочек: 12 мм. Легочный клапан – без изменений, степень регургитации не определяется.
Легочная артерия слегка расширена, отходит от правого желудочка. Систоло-диастолический поток в легочную артерию: диаметр ствола легочной артерии – 16 мм, диаметр ветвей правой легочной артерии – 7 мм, левой – 9 мм. Трикуспидальный клапан – без изменений, минимальная степень регургитации. Межпредсердная перегородка изменена. Открытое овальное окно – 2 мм, толщина межжелудочковой перегородки в диастолу – 5 мм. Межжелудочковая перегородка не изменена.
Толщина задней стенки левого желудочка в диастолу – 5 мм. Дополнительные особенности эхокардиографии: открытый проток – 1.4 мм. Заключение: минимальная митральная регургитация. Врожденный порок сердца. Открытый артериальный проток – 1.4 мм. Минимальная трикуспидальная недостаточность, открытое овальное окно – 2.2 мм. Уважаемые врачи, не могли бы вы сообщить, насколько это серьезно?
Как можно с этим жить? Возможно ли лечение, и как оно будет проводиться? Оперативно или с использованием медикаментов? Какие рекомендации следует соблюдать? Я с нетерпением жду ваших ответов.
Ответы врачей
У вашего ребенка имеется открытый аортальный проток и овальное окно. Обычно аортальный проток закрывается сразу после рождения. Если этого не произошло, в первые дни жизни проводится медикаментозное лечение. В таком возрасте, как у вашей дочери, оно уже может быть неэффективным, и в случае необходимости лечения рассматривается хирургический вариант. Однако для операции также существуют показания. Если открытый аортальный проток не влияет на качество жизни и общую гемодинамику, операция может не понадобиться.
Показания к проведению операции по поводу открытого артериального протока:
Медикаменты не помогли закрыть проток.
Обратный ток крови из аорты в легочную артерию.
Появились признаки застоя крови и повышения давления в сосудах легких. Длительные бронхиты и пневмонии, которые плохо поддаются лечению. Нарушения работы сердца – сердечная недостаточность.
Наиболее подходящий возраст для операции – 2-5 лет.
Решение о лечении зависит от общего состояния ребенка, которое может адекватно оценить врач после осмотра и беседы с родителями.
Овальное окно может само закрыться и не является серьезным пороком до 5 лет.
Имеющаяся недостаточность клапана не является серьезной патологией сердца. С этим можно жить всю жизнь.
Таким образом, если состояние сердца незначительно сказывается на качестве жизни, ребенок активен, не бледен, нормально переносит физические нагрузки, можно просто следить за его состоянием и обращать внимание на любые изменения в самочувствии.
Если же это ухудшает качество жизни, ребенок бледен, плохо переносит физическую активность, часто болеет пневмонией, то тогда требуется хирургическое вмешательство.
Когда ваш врач появится, он, наверняка, назначит дополнительное обследование сердца ребенка с определением давления в камерах сердца и сосудах, функциональные пробы и др. для оценки гемодинамики и принятия дальнейшей тактики действий.
Увеличение размеров тени сердца, обозначенное размером 15,4 см, является сигналом о возможных патологических процессах в сердечно-сосудистой системе. Тень сердца формируется в результате проекции сердечной мышцы и крупных сосудов на рентгеновском снимке, и любое значительное увеличение может оказывать влияние на клиническую картину. Обычно это свидетельствует о возможном увеличении сердца, которое может быть результатом различных заболеваний, таких как гипертония, ишемическая болезнь сердца или хроническая сердечная недостаточность.
При анализе рентгенографических данных необходимо учитывать и другие факторы. Увеличение тени сердца можно интерпретировать в контексте клинических симптомов пациента, таких как одышка, отеки, боли в груди или другие кардиологические проявления. Важно уточнить, не было ли ранее установлено наличие клапанных заболеваний или других кардиологических расстройств, которые могли бы привести к изменению геометрии сердца и его размерам.
В таких случаях для более точной диагностики целесообразно провести дополнительные исследования, такие как эхокардиография или компьютерная томография, которые помогут более детально оценить состояние сердца и исключить или подтвердить наличие серьезных заболеваний. Повышенное внимание должно уделяться динамике состояния пациента, поскольку изменения в размерах сердца могут быть прогрессирующими и требовать своевременного вмешательства для предотвращения осложнений.
Кардиоторакальный индекс
Кардиоторакальный индекс — это соотношение ширины тени сердца, измеренной в самых удаленных точках его контуров, к внутреннему поперечнику грудной клетки, который измеряется выше купола диафрагмы при рентгенографии. Увеличение тени сердца чаще всего свидетельствует о кардиомегалии, а в редких случаях о перикардиальном выпоте. Тем не менее, увеличение кардиоторакального индекса может происходить также при гипертрофии эпикардиальной жировой ткани.
Увеличение сердечной тени считается, если кардиоторакальный индекс превышает 50%. КТИ > 50% по отношению к хронической сердечной недостаточности обладает чувствительностью 50% и специфичностью 75-80% и является грубым маркером патологии. Для того чтобы эти изменения стали заметны на рентгенограмме, необходимо, чтобы объем левого желудочка увеличился как минимум на 66%.
Что делать при увеличенном сердце?
Первое, что волнует родителей, если на рентгене обнаружено увеличенное сердце у ребенка, так это меры, которые можно предпринять.
- Прежде всего, нужно успокоиться и остановить панику. Если недуг был выявлен случайно, а не по результатам диагностики конкретных симптомов, то явно у ребенка нет серьезных проблем, сердце функционирует нормально.
- Однако стоит обратиться к кардиологу, который назначит дополнительные исследования для подтверждения или опровержения диагноза.
- Также необходимо начать лечение. Чем раньше это произойдет, тем больше шансов на положительный исход.
Лечение будет назначено индивидуально, с учетом состояния здоровья ребенка, проявляющихся симптомов и степени тяжести заболевания.
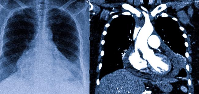
На КТ сердце увеличено что это значит

С помощью рентгенографии (слева) органов грудной клетки (ОГК) и КТ с контрастированием (справа) возможно визуализация сердца и крупных сосудов
В большинстве случаев компьютерная томография не является предпочтительным вариантом для диагностики заболеваний сердца. Эхокардиография занимает эту нишу, так как она более доступна, проста и информативна. С помощью Эхо-КГ врач может оценить не только анатомию сердца, но и его функциональность (например, скорость и объем кровотока, наличие регургитации через клапаны).
Что касается врожденных аномалий, компьютерная томография может быть полезна, так как отличается высокой чувствительностью к патологиям крупных сосудов. Визуализация изменений в сердце возможно лишь при наличии выраженных отклонений.
Специалисты предпринимают попытки внедрить КТ-сканирование, синхронизированное с электрокардиографией, что потенциально способно значительно повысить эффективность данного метода инструментальной диагностики. Результаты описанных исследований свидетельствуют о перспективности последнего. Ограничивающим фактором является молодой возраст пациента, при котором нежелательно излишнее лучевое воздействие на организм. Поэтому при необходимости диагностики пороков сердца, предпочтение обычно отдают Эхо-КГ и МРТ.
Стандартная компьютерная томография имеет большое значение в качестве дополнительного метода исследования или когда у пациентов установлен электронный кардиостимулятор, либо имеются другие противопоказания для магнитно-резонансной томографии (присутствие металлических элементов, несъемные устройства, которые могут выйти из строя под влиянием магнитного поля).
Причины и признаки расширенного сердца на КТ

Расположение желудочков и предсердий на КТ-сканах (трехмерная реконструкция (А, В), фронтальная (С) и сагиттальная (D) проекции)
Сердце может выглядеть увеличенным за счет:
- дилатации (увеличение камер);
- гипертрофия (утолщение сердечной мышцы);
- расширение полости перикарда из-за жидкости или других патологических субстратов разного происхождения;
- комбинации указанных процессов.
Основной причиной гипертрофии левого желудочка является хроническая артериальная гипертензия. На компьютерной томографии (КТ) можно наблюдать не только увеличение сердца, происходящее за счет левых отделов, но и склероз аорты и коронарных артерий, указывающих на атеросклероз. В некоторых случаях также наблюдается расширение плевральных пространств (гидроторакс) и усиление легочного рисунка, особенно в нижних долях. Эти клинические признаки могут сигнализировать о развитии сердечной недостаточности.
Изменения в правых камерах сердца, как правило, происходят в результате повышения давления в малом круге кровообращения. К причинам такого состояния можно отнести:
- обструктивные легочные заболевания (например, хронический бронхит, астму, эмфизему и бронхоэктазию);
- врожденные сердечные аномалии, вызывающие гиперволемию и легочную гипертензию;
- значительные фиброзные изменения в легочной ткани;
- острые состояния, такие как тромбоэмболия легочной артерии или пневмоторакс.
Клапанный аппарат сердца обычно обеспечивает однонаправленное движение крови во время сокращения и предотвращает её обратный ток (регургитацию) в фазе расслабления. Однако нарушения в его работе могут привести к гипертрофии миокарда и дилатации полостей. Наиболее распространенными причинами значительных изменений в клапанах сердца являются:
- ревматические заболевания;
- атеросклероз;
- инфекционные процессы (например, бактериальный эндокардит);
- врожденные аномалии, включая генетические нарушения.
С помощью классической компьютерной томографии трудно оценить патоморфологию или функционирование створок, поэтому для диагностики врожденных и приобретенных пороков наиболее значимым методом визуализации является Эхо-КГ. На КТ врач-диагност имеет возможность выявить только косвенные признаки заболевания.
Таблица 1. Приобретенные пороки сердца на КТ
Митральный клапан (между левым предсердием и желудочком)
- увеличение ушка левого предсердия;
- гипертрофия правого желудочка;
- обызвествления на митральном клапане (может наблюдаться у пожилых людей без сердечных заболеваний);
- признаки застоя в легких (усиленный сосудистый рисунок и интерстициальные изменения, с возможным развитием гидроторакса).
- дилатация левого предсердия и желудочка;
- обызвествление митрального кольца.
Аортальный (между левым желудочком и аортой)
- постстенотическое расширение восходящей аорты;
- концентрическая гипертрофия левого желудочка;
- обызвествления аортального клапана.
- дилатация левого желудочка без утолщения стенки;
- возможное наличие расширения аортальной луковицы и обызвествления её стенок.
Трикуспидальный клапан (между правым предсердием и желудочком). Изолированные пороки встречаются редко и чаще всего сопровождаются митральными стенозами.
- значительное увеличение правого предсердия при нормальных размерах правого желудочка;
- дилатация левого предсердия.
- дилатация правых предсердия и желудочка.
Кардиомиопатия представляет собой заболевание миокарда, которое может быть либо врожденным, либо приобретенным, и имеет обычно идиопатическую природу. Однако иногда она может возникать вторично, под воздействием неблагоприятных факторов, таких как:
- коллагенозы (системная красная волчанка, ревматоидный артрит и т. д.);
- инфекционные миокардиты;
- нарушения метаболизма и эндокринной функции;
- токсические воздействия (алкогольные напитки, некоторые лекарственные препараты);
- онкологические заболевания.
Для всех кардиомиопатий свойственна схожая клиническая картина, включающая:
- одышку при физической активности;
- в тяжелых случаях развивается застой, проявляющийся отеками, асцитом и гидротораксом;
- цианоз;
- кардиалгии, которые не снимаются нитроглицерином.
- кардиомегалия, часто сопровождённая незначительным увеличением левого предсердия;
- гипокинезия сердца;
- утолщение миокарда отсутствует.
- уменьшение объёмов камер желудочков;
- гипертрофия стенок сердца и межжелудочковой перегородки.
- утолщение миокарда из-за накопления амилоида и гликогена;
- гипокинезия;
- возможно развитие застоя в малом круге кровообращения и очаговой инфильтрации в легких.
Перикард окружает сердце и крупные сосуды, отходящие от него. На КТ этот анатомический элемент определяется как тонкая линия. В норме между париетальным и висцеральным листком имеется небольшое количество жидкости, предотвращающей негативные трения.
Гидроперикард формируется при наличии более 50 мл экссудата.
Причиной расширения полости околосердечной сумки может служить:
- воспалительный экссудат (например, при туберкулезе);
- транссудат (при левожелудочковой недостаточности);
- травматические повреждения или инфаркт миокарда (перикард заполняется кровью, существует риск тампонады сердца).
Неоплазии сердца — это редкое заболевание, которое также может способствовать увеличению размеров сердца. Наиболее распространены метастатические поражения, вызванные раком легких, молочной железы, меланомой или злокачественными лимфомами.
На КТ признаки данной патологии включают:
- уплотненные узелковые образования в стенках полостей сердца;
- гидроперикард, вызванный злокачественным выпотом;
- множественные мелкие очаги в миокарде.

КТ ОГК: расширение полости перикарда за счет наличия жидкости (указано стрелками)
Увеличение тени сердца
Гипертрофия и дилатация левого желудочка, возникшие из-за перегрузки давлением (например, при артериальной гипертензии или стенозе аорты), на начальных стадиях проявляется в прямой проекции увеличением тени сердца, которое происходит из-за расширения нижней дуги слева. Дуга аорты при этом выглядит выпуклой, что Вызывает увеличение тени сердца на рентгеновском снимке. С расширением миогенной дилатации увеличивается левая нижняя дуга и округляется верхушка, смещаясь вниз. Порой также увеличивается правая нижняя дуга из-за смещения правого желудочка, который занимает место расширенного левого желудочка.
Гипертрофия и дилатация левого желудочка вследствие перегрузки объемом (например, недостаточность аортального или митрального клапана) обычно в передней проекции изначально проявляется в виде увеличения тени сердца из-за удлинения нижней левой дуги и только на более поздних стадиях — округлением верхушки. На боковой проекции явная дилатация левого желудочка хорошо видна. Выраженная пульсация аорты может указывать на аортальную недостаточность во время рентгеноскопии.

Рис.4.36 Увеличение тени сердца за счет удлинения нижней дуги левого контура и смещение вниз закругленной верхушки вследствие гипертрофии левого желудочка.
Дилатация левого желудочка, как правило, сопровождается повышением диастолического давления внутри него, а также увеличением давления в левом предсердии, что приводит к его расширению. Увеличение левого предсердия при значительной дилатации левого желудочка не является признаком только митрального порока.
Увеличение тени сердца из-за правого желудочка (при стенозе легочной артерии или легочной гипертензии) может быть заметно на снимках в прямой проекции смещением нижней дуги правого контура вправо. Чаще всего, из-за краниального смещения гипертрофированного правого желудочка (в то время как диафрагма сдерживает смещение вниз), конус легочной артерии смещается вверх (краниально) и выпячивается в среднем отделе левого контура. Увеличение тени сердца с левой стороны на данном уровне может стать прямолинейным или даже выпуклым латерально. В случае выраженной гипертрофии расширенный правый желудочек может сместить левый желудочек и сформировать контур по левому краю (на нижней левой дуге).

Рис.4.37 Выбухание легочного ствола и левой артерии по левому контуру сердца у пациента со стенозом клапана легочной артерии (постстенотическое расширение).
В боковой и в косой проекциях на рентгене сердца расширение ПЖ проявляется уменьшением ретростернального пространства.
Левое предсердие увеличивается (при митральных пороках, реже при мерцательной аритмии без клапанных изменений) вправо и назад, однако в прямой проекции его увеличение в большинстве случаев проявляется по левому контуру сердца: выпячивание ушка левого предсердия сглаживает «талию» сердца (так называемая «митральная конфигурация» сердца).
Со стороны правого контура увеличение левого предсердия может создавать двойной контур нижней дуги: сильно увеличенное левое предсердие может выходить за контур правого предсердия или оставаться внутри, образуя дополнительную дугу из-за повышенной рентгеновской плотности, вызванной большим объемом крови в левом предсердии. Другим признаком увеличения левого предсердия является краниальное смещение левого главного бронха, что является довольно специфичным признаком, но наблюдается лишь в 50% случаев выраженной атриомегалии.

Рис.4.38 Схема рентгенограммы сердца при дефекте межпредсердной перегородки. Отмечается расширение левой легочной артерии и расширение правых полостей.
В прямой косой проекции увеличенное диастолическое давление может передвигаться в ретрокардиальное пространство, смещая контрастированный пищевод к позвоночнику. При этом дуга, образованная смещением пищевода, имеет меньший радиус при митральном стенозе и больший при атриомегалии, зависимой от недостаточности митрального клапана.
Увеличенное правое предсердие может смещать значительное пространство вправо, и в прямой проекции это проявляется увеличением нижней правой дуги, а выраженная атриомегалия может Вызвать расширение и увеличение тени сердца вправо.

Рис. 4.39 При митральном стенозе выбухание ушка левого предсердия (УЛП) в середине левого контура сердца приводит к сглаживанию талии сердца так называемая митральная конфигурация сердца.
Изолированное поражение клапанов правой половины сердца у взрослых встречается крайне редко. Обычно это связано с повреждением клапанов легочного ствола или трикушпидального клапана в контексте септического эндокардита, что чаще всего наблюдается у наркоманов. Кроме того, подобные изменения могут возникать при карциноидном синдроме.
Увеличение теней сердца, наблюдаемое во всех плоскостях, может быть вызвано как расширением камер сердца (или одной из них), так и скоплением значительного объема жидкости в перикарде.
При первичном поражении миокарда (например, при тяжелых миокардитах или дилатационной кардиомиопатии), а В случаях серьезных пороков сердца, декомпенсированной гипертонической болезни (вызванной перегрузкой) и при декомпенсированной ишемической болезни сердца, тень сердца значительно расширяется в поперечном направлении. Основание тени, контактирующее с диафрагмой, значительно увеличивается, контуры становятся менее четкими и трудно различимыми, а кардиоторакальный индекс (соотношение максимального поперечного размера сердца к поперечнику грудной клетки на уровне куполов диафрагмы) превышает 0,5.

Рис.4.40 Изображение сердца при накоплении большого количества жидкости в перикарде.

Рис.4.41 Расширение восходящей аорты (ВоАо) при стенозе аортального клапана смещает верхнюю правую дугу контуры.
На текущем этапе невозможно точно установить причину кардиомегалии, основываясь исключительно на рентгенологических данных.
Жидкость в перикарде проявляется рентгенологически, лишь когда накапливается в значительном количестве (как правило, свыше 500 мл). Тень сердца увеличивается (расширяется) во всех направлениях (в прямой проекции и вправо, и влево) в нижней ее части. Как следствие тень сердца приобретает «треугольную форму» с основанием треугольника, расположенным на диафрагме. Подобие с треугольником усиливается сглаживанием дуг но контурам — последние становятся более похожими на прямые линии. Такую тень принято сравнивать также с трапецией — «трапециевидная конфигурация» сердца. При этом в боковой проекции отмечается увеличенная во все стороны тень сердца, значительно сужающая ретростернальное и ретрокардиальное пространство.
Во время рентгенографического исследования сердца или рентгенокимографии может наблюдаться значительное снижение или полное отсутствие пульсации сердца. Особенно важным для диагностики является сочетание очень слабой пульсации нижней левой дуги с нормальной пульсацией аорты (которая не покрыта жидкостью), а также отсутствие признаков застоя в легких.
При расширении восходящей аорты (аневризмы, постстенотическое расширение) наблюдается латеральное смещение правой верхней дуги. Кроме того, сосудистая «пачка» также расширяется при склерозировании аорты, что сопровождается ее удлинением (дуга аорты смещена вверх, достигая тени левой ключицы).
Нормальные размеры тени сердца никак не гарантируют отсутствие сердечного заболевания. Например, даже очень тяжелая стенокардия обычно не вызывает кардиомегалии, кроме случаев присоединения сердечной декомпенсации; также и при рестриктивной кардиомиопатии или при констриктивном перикардите — тень сердца остается нормальной, хотя у больного может быть очень тяжелая сердечная недостаточность. Тогда как расширение сероечяой тени несомненно указывает на наличие поражения миокарда иди перикарда.
Ренттенокардиометрия (КТИ)
где Mr+Ml представляет собой поперечный диаметр сердца, равный сумме перпендикуляров, проведенных из наиболее удаленных точек правого и левого контуров сердца к средней линии. КТИ — это процентное соотношение поперечного диаметра сердца к базальному диаметру грудной клетки. Ю. Н. Константинов (1963) выделяет три степени увеличения КТИ: нормальная величина не превышает 50%, увеличение I степени — 50-55%, II степени — 56-60%, III степени — более 60%. Определение КТИ — это простой и удобный способ мониторинга размеров сердца по динамике. Необходимо учитывать, что у новорожденных и детей с избыточным весом КТИ в норме может составлять до 53-55% из-за лежачего положения сердца.
Более точное определение размеров сердца основывается на измерении его объемов (V), впервые предложенном Rohrer (1916) и Kahlstorf (1936). Обычным методом является использование формулы Rohrer — Kahlstorf в модификации И. X. Рабкина с соавт. (1968): V = k·l·b·tmax, где k — коэффициент, варьирующий в зависимости от расстояния «фокус — пленка»; l — длинный диаметр сердечной тени; b — короткий диаметр сердечной тени; tmax — ее максимальный диаметр в левом боковом положении. К для детей младше трех лет составляет 0,38 [Голонзко Р. Р., 1966], а для старше трех лет — 0,32 [Рабкин И. X. и др., 1968].
Если обследуемому не произведена рентгенография в левом боковом положении, используется формула Bardeen (1922) в модификации А. В. Гринберга, Ю. И. Вайнштейна (1939), в которой применяются только размеры, вычисленные в одной прямой проекции:
V=0,5 · (0,85-А) 3/2
где 0,5 — константа; 0,85 — коэффициент корректировки на проекционное искажение из-за расходящегося пучка рентгеновских лучей; А — площадь сердца, определяемая с помощью переноса силуэта сердечной тени на миллиметровую бумагу. Нормальным объемом сердца считается 250-300 см³/м², незначительно увеличенный — до 500 см³/м², умеренно увеличенный — до 750 см³/м² и резко увеличенный — более 750 см³/м².
Опыт других людей
Анна, 32 года, медицинская сестра: «Когда я прочитала заключение «тень сердца увеличена в поперечнике 15.4 см», я сразу испугалась. Я знала, что это может быть признаком различных сердечно-сосудистых заболеваний. Я побежала к врачу, который объяснил, что хоть увеличение тени сердца действительно может быть причиной для беспокойства, но важно учитывать и другие факторы, такие как врачебные анализы и общее состояние здоровья.»
Игорь, 45 лет, инженер: «Узнав о своих результатах, я был в шоке. Для меня это звучало как приговор. Я долго мучился, искал информацию о том, что значит увеличение тени сердца. В конце концов, нашёл врача, который разъяснил мне, что иногда это может быть временное состояние и не всегда свидетельствует о серьезных патологиях. Он рекомендовал мне дополнительные обследования для исключения возможных проблем.»
Светлана, 28 лет, преподаватель: «Когда я услышала от знакомого о своей тени сердца, увеличенной до 15.4 см, я перерыла интернет в поисках ответов. Я переживала о возможных заболеваниях и наследственности. В итоге обратилась к кардиологу, который развеял все мои страхи, сказав, что в некоторых случаях это может быть связано с особенностями строения. Главное — следить за состоянием и делать регулярные проверки.»
Вопросы по теме
Что означает увеличение тени сердца до 15 см в поперечнике?
Увеличение тени сердца до 15 см в поперечнике может свидетельствовать о различных патологических состояниях, включая гипертрофию сердечной мышцы, увеличение объема сердца из-за сердечной недостаточности или наличие аномалий в структуре сердечно-сосудистой системы. Это состояние требует дальнейшего исследования, чтобы точно определить причину и назначить соответствующее лечение.
Какие исследования следует провести при увеличении тени сердца?
При обнаружении увеличенной тени сердца важно провести ряд дополнительных исследований. Это могут быть эхокардиография для оценки работы сердца, ангиография для изучения сосудов, а также рентгенография грудной клетки, чтобы исключить другие причины увеличения тени, такие как увеличение легких или наличие жидкости в плевральной полости. Врач может также назначить анализы крови для проверки общей функции сердечно-сосудистой системы.
Может ли изменение тени сердца указывать на стресс или эмоциональное состояние?
Хотя тень сердца в основном связано с физическими изменениями в органе, хронический стресс и эмоциональные состояния действительно могут влиять на функциональное состояние сердца. Они могут приводить к изменениям в частоте сердечных сокращений и повышению артериального давления, что в свою очередь может сказаться на размерах сердца. Однако эти изменения, как правило, не столь выражены, как структурные патологии и требуют комплексного подхода к диагностике и лечению.




